謝德新醫生(Samson),一位心臟專科醫生,今年初在渣打香港馬拉松成功完成人生首個全馬。這不僅是他阿基里斯腱手術後三年的復出里程碑,更是由骨科專科醫生陳國彪(Bill哥)醫治腳傷,與他孖生弟弟兼牙醫專科謝德安醫生(Ryan)的陪伴下,克服嚴重傷患的勝利故事。對於一位中學時代自嘲為「肥仔」、從未愛好運動的醫生而言,這段旅程充滿轉折、堅持,以及對身體極限的反思。Samson 的經歷,不僅是一個跑者的故事,更是關於如何在醫學專業與個人挑戰之間尋求平衡的寫照。

疫情啟蒙
回顧中學時代,Samson與Ryan自稱是典型的「肥仔」,運動從未成為他們生活的一部分。直至新冠疫情爆發,一切悄然改變。身為心臟專科醫生,Samson深知運動對心血管健康的關鍵作用,他強調,唯有顧及自身體態,方能勸導他人注意健康。疫情來襲,健身房全面關閉,原有健身習慣被迫中斷。弟弟無意間提及淺水灣一帶的跑道,那條被譽為「香港最美緩跑徑」的路線,從港怡醫院附近延伸至淺水灣及深水灣,空氣清新、景色如畫。

Samson回憶那轉折時刻:「他提議我們可以由淺水灣出發,來回跑6公里,說這條路線頗有趣味。」經Ryan說服,兄弟倆開始一同起步。最初,他們氣喘吁吁,但漸漸發現樂趣。由5公里、6公里逐步增至10公里、12公里,二人很快便一起參與線上虛擬賽事,第一個里程碑為線上半馬賽事。Samson表示,自己從不追求速度,尤其在這個年齡:「無需追逐速度。即使現在對病人說,跑步也是一種訓練,大多數人剛開始運動時,我從不鼓勵他們一開始便出盡全力,而是應該先養成習慣。」跑步遂成習慣,逐漸改善他們的身形與心態。

Samson也說,適當跑步不僅能塑造身材,更能帶來實質的健康益處:「肥胖終究會對未來的心臟造成諸多問題。」而他最常強調的,是跑步作為「生理測試」的價值。此觀念在他心中根深蒂固。許多人平日感覺良好,卻於高強度運動時暴露問題,包括心跳異常、胸悶氣促、關節隱痛。Samson解釋:「從事運動實為一種生理測試,多數人往往等到狀況極差,方才察覺問題;平日不覺,唯運動剎那,方現病徵。」對他而言,跑步非盲目挑戰,而是及早發現身體警訊的工具。例如,某些病患自稱「無明顯病徵」,但跑步後始揭露潛在心臟負荷過重或血管阻塞。
由醫生變病人
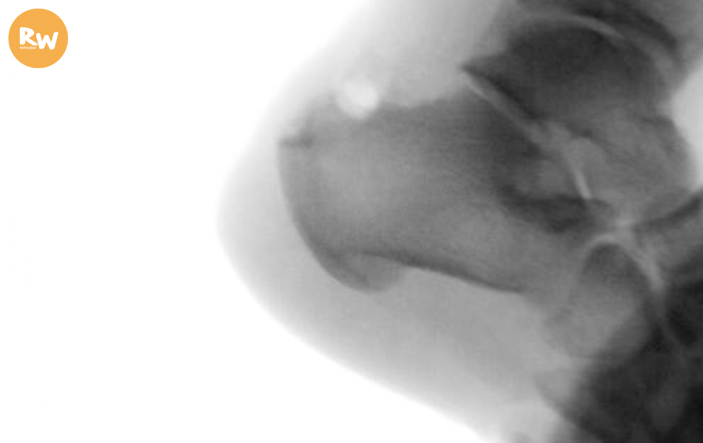
可是跑步兩年後,Samson喜悅戛然而止,右腳開始疼痛,後來連行走皆感艱難。X光檢查顯示,阿基里斯腱鈣化嚴重,並伴隨骨刺突出。他四處求醫,疼痛至考慮手術,終聯繫舊同學兼骨科專科醫生Bill哥。Bill哥仔細診斷,指出多重問題:阿基里斯腱退化、骨刺突出壓迫神經、滑囊炎併發。「即使進行骨刺手術,筋腱本身仍不健康。」Bill哥直言:「在你這個年齡,最多日後不再跑步即可。」


由醫生轉為病人,Samson內心充滿無奈與沮喪:「為何傷患會發生在我身上?」他嘗試忍耐一段時間,惟疼痛不止。2023年,他最終決心接受手術,並選擇了自己一直信任的同學——Bill哥主刀。Bill哥坦言,醫治如Samson般的「VVIP」病患最具挑戰:「身為醫生,最畏醫治其他醫生,尤其是專科醫生。此類病患經驗豐富,不輕信公式化治療,其主觀期望常與康復過程產生落差。」為此他數日難眠,壓力沉重,但仍堅持:「要思考得比他更前,手術過程必須更細緻小心,康復計劃亦要清晰而循序漸進,不可急進。」Samson則笑言:「當醫生變成病人時,其實會更謹慎,亦會選擇一個自己真正有信心的醫生。」
手術過後,Samson沒有停下腳步,反而決定以更正面的態度迎接挑戰。過去一直未完成的馬拉松目標,變成他重新出發的動力。他開始為自己訂立清晰時間表,逐步訓練,朝完成馬拉松邁進對他而言,這不單是個人挑戰,更是一種以身作則——希望用自身經歷,鼓勵病人積極運動、面對復康,走出傷患陰霾。」
手術後的全面復健
Bill哥的治療哲學,體現骨科專科醫生的務實與細膩。阿基里斯腱問題在長跑者中極常見,Samson屬嚴重類別,筋腱骨交界已鈣化,不手術只會加速衰退:「若繼續跑步,將加速筋腱衰退及功能喪失。」治療上,會以保守治療為首選:先進行全面評估,包括臨牆檢查、X光、超聲波、MRI,以確定病變程度。「無人喜手術,我們亦不樂於每例皆手術。須盡試所有方法,方考慮手術。」Bill哥指出,止痛藥可暫緩症狀,提供舒緩,但始終非長遠根治之道。


Samson再分享對疼痛管理需謹慎選擇藥物,尤其是心臟病患。他表示,年輕的可適度服用止痛藥,但年長者須小心,因部分止痛藥損腎臟或胃部。疼痛實為身體警訊,短期可食藥緩解;建議選COX-2抑制劑,胃損害較少,但長期服用影響血壓及心臟,故宜諮詢醫生,解決根本問題。
Bill哥亦補充,骨科現少開NSAIDs止痛藥,因華人胃痛風險高。須評估病患風險,短期使用有效減炎緩症,助康復;長期則靠其他方法,如手術或物理治療,非藥物依賴。
手術清除骨刺及滑囊,刺激筋腱再生,惟Bill哥坦言:「任何修補僅助部分病症。」預期難復專業水平,更遑論全馬所需極高體能,心肺耐力、肌肉協調、骨骼韌性,缺一不可。術後復健自九月啟動,十月底Samson 首跑3公里,漸進加量。Bill哥全程監察:「他極為小心,每次長跑後發訊息給我,我便標註進度,提供鼓勵。」
作為骨科專科醫生,Bill哥指出,現今業餘跑手最常見的傷患,包括髂脛束綜合症(IT Band)、髕股關節痛、脛骨骨膜及壓力性損傷(俗稱脛骨壓力性骨折)等,以及阿基里斯腱問題等,成因多與重複過度負荷有關。他強調,預防不等於「不要跑」,而是「量力而為」四字:先要有一個狀況良好的心臟,其次是訓練安排要循序漸進,讓身體有時間適應負荷變化。當感到不適或疲勞異常時,應學會「聽身體說話」,及早減量或休息,而不是硬撐,以免發展成難以處理的傷患。若計劃比賽,更需要在訓練、飲食、補水及營養上全面準備,並在有經驗教練指導下進行,透過團隊方式,才能在享受跑步的同時降低受傷風險。
復出征途 陪伴衝刺


相對兄長,Ryan幸無重大傷患,除長跑外,還涉獵多項運動,包括越野跑、HYROX,更是健美冠軍。他早已完成多場海外馬拉松,如東京、柏林、芝加哥。今次為了陪伴兄長堅持下去,對他而言也別具挑戰性。回憶渣馬當天,二人並非同時起步,先行的Ryan 於初段放緩等待Samson。惟Samson後段已感無力,幸Ryan始終伴隨推動,最終在 「關閘」 前成功通過所有檢查點,最終一起返回終點。
堅持與現實的終極測試
完賽後,Samson 視全程馬拉松為「夢想實踐」:「人有夢想,但不行動即空談。」他強調,一切需「慢慢踏出」,並非鼓勵人人跑全馬:「大家應從事適當運動,每周適量的中等強度運動,對心臟有益。即使無法起步,心態轉變最重要。我做此舉,至少日後對那些無法運動的病患,可分享:我腳手術後仍跑完全馬。」

最後他也不浪漫化馬拉松:「完賽頭幾日免疫力低下,超長距離運動未必健康。馬拉松之名源於古希臘戰士跑回雅典報捷後力竭而亡的故事。」他再三強調,全馬是終極的生理測試:必須有足夠的訓練,才能安全地挑戰極限。



